Removable Prosthetics

67 year old Female – Complete Upper/Complete Lower (CU/CL) Interim

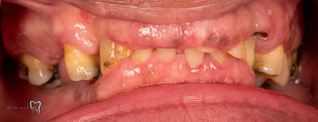
Patient presented with 15 remaining teeth, wearing interim partials 20+ years old, radiographic and clinical examination determined remaining teeth to be non-restorable, patient was mentally prepared for extraction and interim CU/CL. Definitive treatment plan of mandibular and maxillary implant retained overdenture
Intermaxillary records, interim dentures planned using current maximum intercuspation
Esthetic Tooth Try-In
Post Dam Capture
Tooth set-up before festooning and processing, completed by predoctoral student
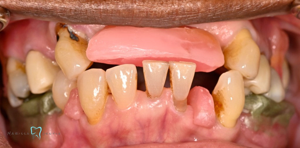
2 weeks post-operation and immediate insertion of CU/CL after 15 extractions, patient is satisfied and being seen every 2 weeks for adjustments during the transition period toward definitive CU/CL dentures

57 yo female-Partial Upper/Complete Lower Interim Denture

Patient presented with loss of VDO, decay on maxillary and mandibular teeth; maxillary molars and premolars are salvageable for partial upper, complete lower
Pre-operative smile photo
Tooth set-up completed with predoctoral student
Tooth set up, patient right
Tooth set up, patient left
Insertion of interim partial upper, complete lower denture case; Patient is now 2 months post-op; Definitive treatment pending: Cast partial upper, complete lower implant supported overdenture

61 yo female-Complete Upper/ Lower Definitive Denture, Designed Digitally

Patient presented edentulous for 5+ years, patient has a current interim CU/CL but patient does not wear the complete lower due to comfort
Patients current denture, note chipping and midline shifted two mm to the patients left
Final PVS impression maxillary arch, border molded with heavy body PVS for definitive complete upper denture
Final PVS impression, mandibular arch, border molded with heavy body PVS for definitive complete lower denture
Intermaxillary records, pending; BTI tooth try in