Case is currently in progress: Final tx plan: Crowns #4-11, implants #3, 12×14 fixed bridge, #22 and 27; complete lower overdenture
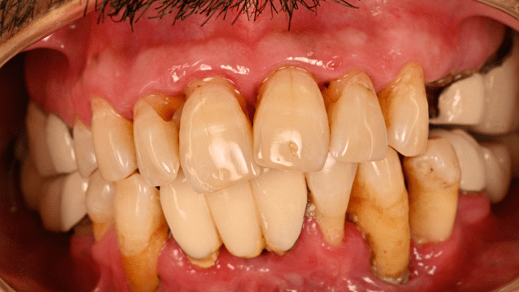
Patient presented with CC: “My teeth hurt when chewing and I haven’t seen a dentist in over ten years”






Accepted Tx Plan:
1. Type 2 treatment planning session – sectioning of bridges lower right, left and section of splinted crowns #3/4
2. Extraction: #3, 12, 13, 14, 17, 20, 21, 29
3. Allowing tissue to heal after bridge removal, open flap debridement of #4-11, the patient is aware that these teeth may fail and need a full maxillary denture
4. Intermax records
5.Tooth try-in
6. Extraction of remaining anterior/posterior teeth: 22, 23, 24, 26, 27, 28 insertion of interim CL, PU to establish VDO
7. Routine adjustments waiting at least 6-8 months, recalls for existing #4-11
8. Survey Crowns to be planned on #4/5, prep, temp, zr crowns with rest seats and retention built into #4/5
9. CBCT
10. Implant planning for lower mandibular overdenture, (if #4-11 are in good shape), plan also for implant retained bridge 2 implants in the areas of #12, #14 and 1 implant at #3. These implants are placed in mind that the patient may lose #4-11 and can be used for all on X procedure in the future if needed. Occlusion will be restored at first molar occlusion. Shorted dental arch may be used if patient denies molar implants
11. Routine 3 month recalls for existing dentition
12. Place mandibular implants and maxillary implants, uncover 3 months later and plan for activation of locator abutments and implant retained bridge 12×14