Fixed Prosthetics

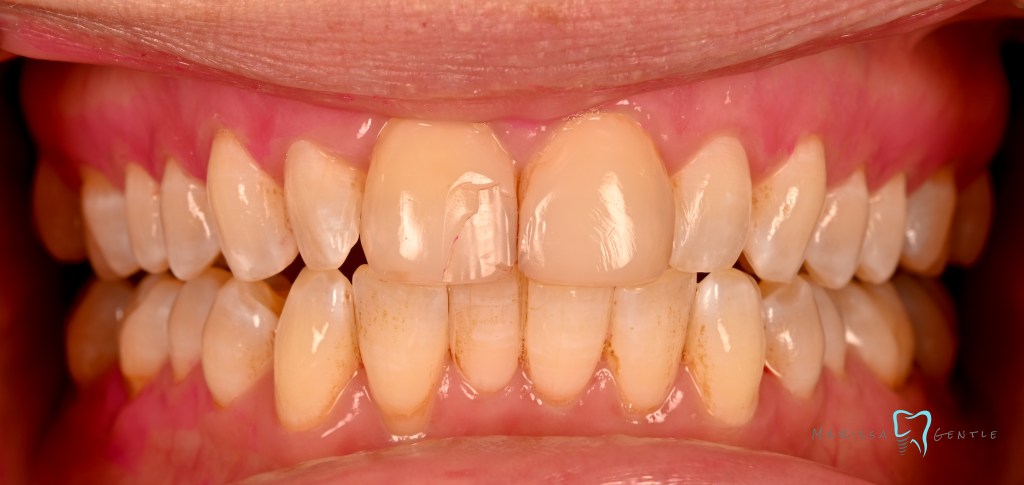
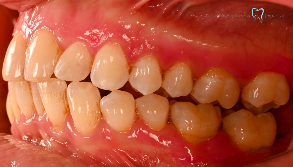
34 yo Female – Esthetic Case 4 unit Anterior Crowns

Case in progress, check back for results

Patient presented with esthetic concern, composite veneers were placed 3 years prior. Patient’s chief complaint is twisted #7, thickness of the composite veneers and now chipping. The veneers were placed initially due to Enamel hypoplasia. Clinically relevant information: the patient wears a mandibular advancement device as treatment for sleep apnea, malocclusion noted edge to edge. Zirconia crowns planned #7-10
Current composite veneers are defective and caries are clinically present
Completed four unit Emax Press Crown wax up #6-10
Splinted Temporary #6-10, Protemp A1
Preparations with shade tab A1, patient requested no characterization in final crowns
Final Restorations Emax Press #6-10, no characterization as requested by patient